Neumonía, información, síntomas, tratamiento, medidas de prevención vídeo en De medicina.com
La neumonía es una enfermedad infecciosa que afecta a los pulmones y las vías respiratorias, suele estar causada por bacterias, virus u hongos. La neumonía puede ser leve, grave o incluso poner en riesgo la vida. Cada año millones de personas contraen neumonía, es una infección frecuente.
![]()
Existen distintos tipos de neumonía, aunque se pueden destacar:
- Neumonia bacteriana la causa las más frecuentes, en adultos tienden a ser más graves.
- La neumonia extrahospitalaria es la contraída fuera del hospital.
- La neumonía intrahospitalaria se contrae entre 48 y 72 horas de la hospitalización. Este tipo de neumonía tiende a ser más grave ya que muchos de estos pacientes que la contraen en el hospital tienen ya su sistema inmunológico debilitado.
- Neumonía por aspiración.
- Enfermedad del Legionario o Legionella
Ancianos, niños y personas que están hospitalizadas por otras infecciones están entre los grupos de riesgo.
- Los virus respiratorios son la causa más frecuentes de neumonía en los niños pequeños, alcanzando su pico máximo entre 2-3 años.
- En los ancianos y en personas hospitalizadas y debilitadas la neumonía bacteriana puede venir después de una gripe o un resfriado.
- Antes del descubrimiento de los antibióticos, un tercio de todas las personas que desarrollaron neumonía posteriormente murió a causa de la infección.
- En la actualidad, más de 3 millones de personas desarrollan neumonía cada año en los Estados Unidos. Más de medio millón de estas personas es admitido a un hospital para recibir tratamiento.Aunque la mayoría de estas personas se recuperan, aproximadamente el 5% va a morir de neumonía. La neumonía es la sexta causa de muerte en los Estados Unidos.
![]()
Síntomas de Neumonía
- Fiebre, sudoración excesiva
- Tos con mucosidad, ocasionalmente puede haber mucosidad con sangre.
- Escalofríos, temblores
- Dolor en el pecho, pinchazos que aún duelen más con la tos.
- Respiración rápida y superficial
- Dolor de cabeza
- Fatiga
- Disminución del apetito
- Confusión.
Diagnostico de la Neumonía
Cuando una persona le cuesta respirar y respira muy rápido y además tiene fiebre o alguno de los síntomas anteriormente descritos es probable tenga neumonía. Acudir al médico de forma inmediata y relatarle los síntomas para que el médico pueda hacer una exploración.
- El médico puede hacer un examen de tórax con un estetoscopio para escuchar las respiraciones.
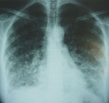
- La neumonía se puede diagnosticar con pruebas como:

- Radiografía de Tórax
- La Tinción de Gram y cultivo del esputo para buscar los microorganismos causantes de la infección.
- Análisis de sangre para verificar el conteo de glóbulos blancos. De ser altos sugiere la presencia de una infección bacteriana.
- Gasometría arterial para verificar la oxigenación de la sangre
- TAC de tórax.
- Cultivo de líquido pleural, si hay presencia de líquido en el espacio que rodea los pulmones.
Tratamiento de la Neumonía
- Si la neumonía es bacteriana se usaran antibióticos.
- SI la neumonía está producida por virus los antibióticos convencionales no son efectivos. En este caso el médico determinara un tratamiento adecuado, se puede usar medicamentos antivirales.
- A veces es difícil distinguir entre una neumonía bacteriana y otra viral de tal forma que se suelen prescribir antibióticos.
- Muchas personas reciben el tratamiento de antibióticos orales en casa.
- Si una persona tiene una enfermedad subyacente, síntomas severos o bajos niveles de oxigeno probablemente requiera hospitalización y antibióticos intravenosos más terapia de oxigeno.
- A menudo bebés y personas mayores son los que más ingresan en el hospital.
![]()
Prestar atención y acudir al médico
- Si notas que la respiración cada vez es más difícil.
- Si tienes fiebre y escalofríos.
- Tos con mucosidad incluso con sangre.
- Dolor en el pecho, al toser y respirar.
- Sudores nocturnos, disminución del peso inexplicable.
- Si es un bebé y notas hace ruidos roncos, acude al pediatra.
- La tos sigue siendo con moco y puede haber sangre.
![]()
Prevención Neumonía
- Mantener unos hábitos de higiene básicos.
- Lavarse las manos frecuentemente.
- Usar pañuelos desechables y cambiarlos frecuentemente.
- Taparse la nariz y boca cuando toses o estornudas.
- La neumonía bacteriana con la vacuna contra la neumonía y la vacuna contra la gripe
Si te gustó Comparte esta información en tus redes sociales o suscribete Gratis para recibir articulos sobre salud natural:




